Fujifilm Healthcare understands that Surgical Oncologists demand excellence in their operating rooms — from their staff and the equipment they depend on. Fujifilm Healthcare's dedication to Surgical Oncologists provides outstanding ultrasound technology, professional support and the specialized tools necessary to best perform comprehensive real-time ultrasound imaging.
For precise surgical oncology ultrasound imaging, Fujifilm Healthcare offers premium level solutions that include:
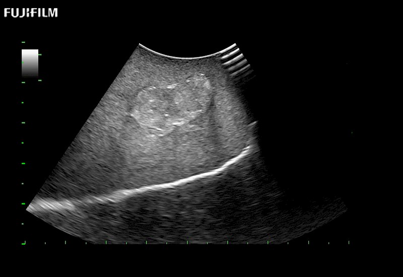
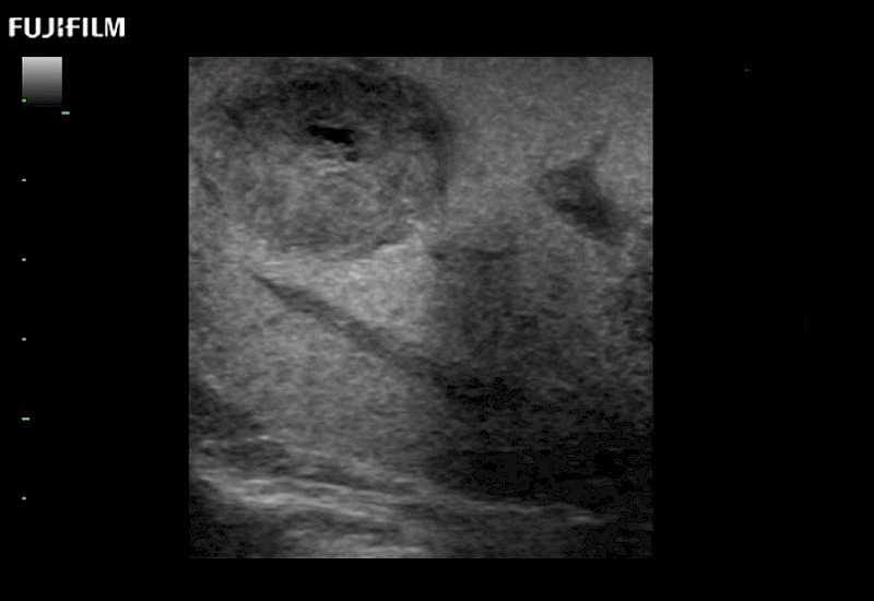
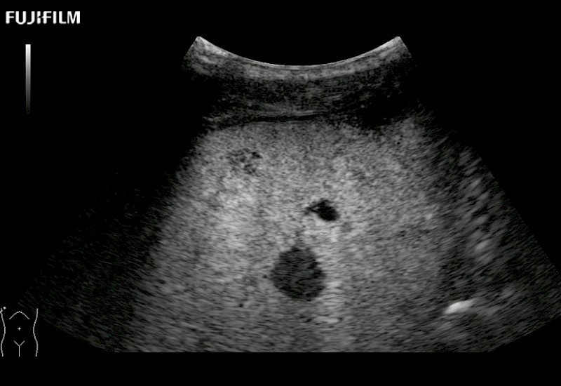
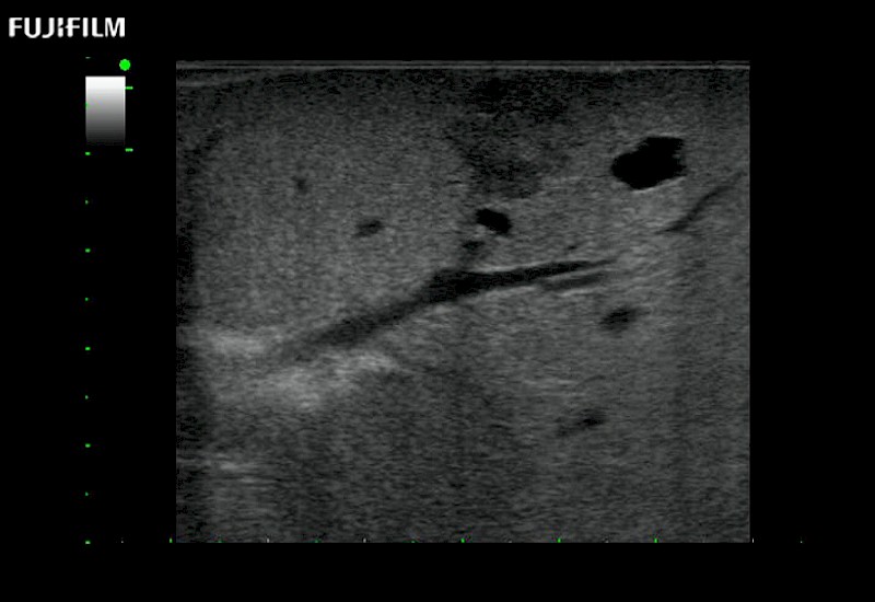
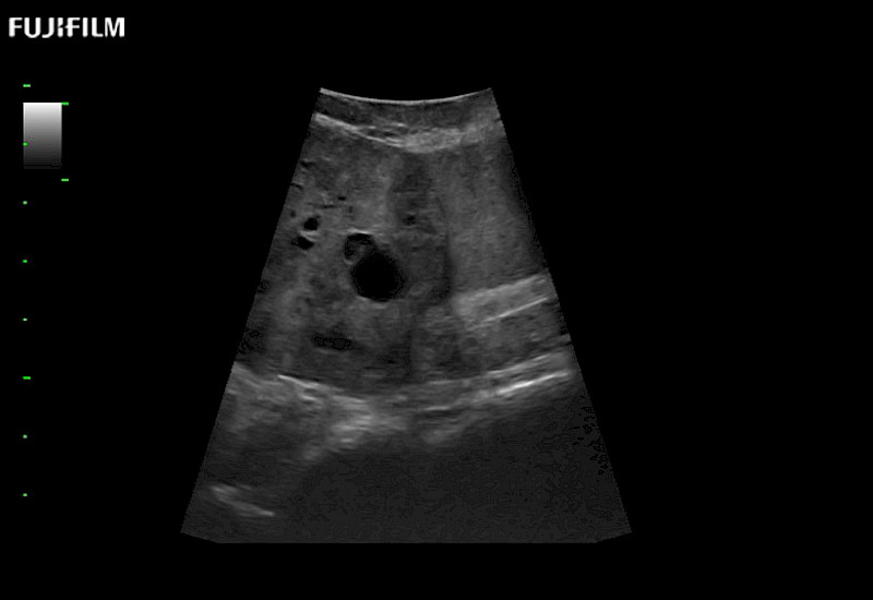
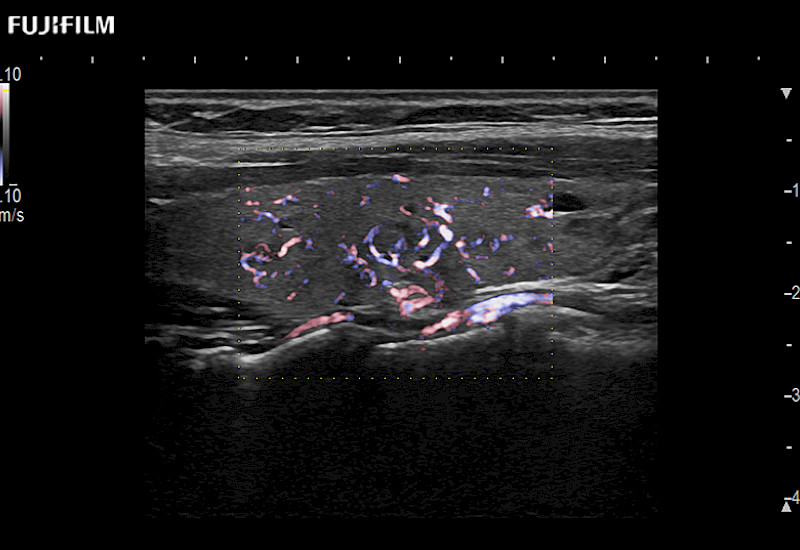
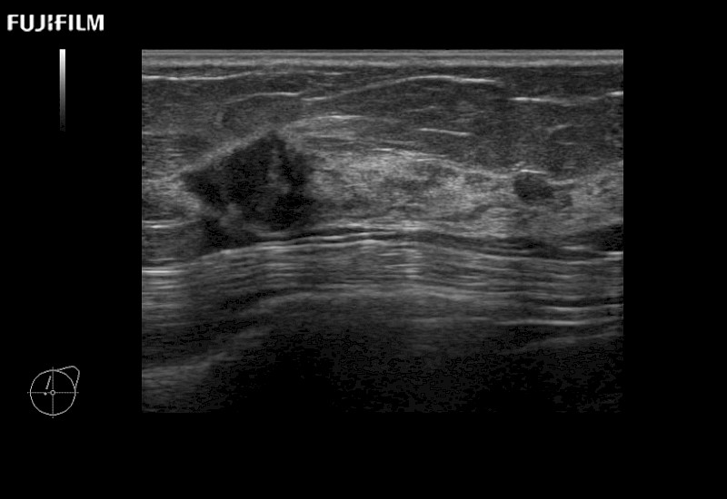
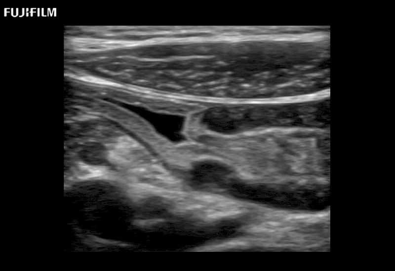
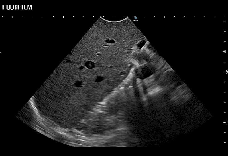
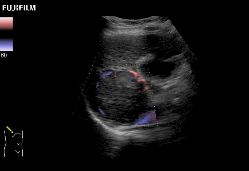
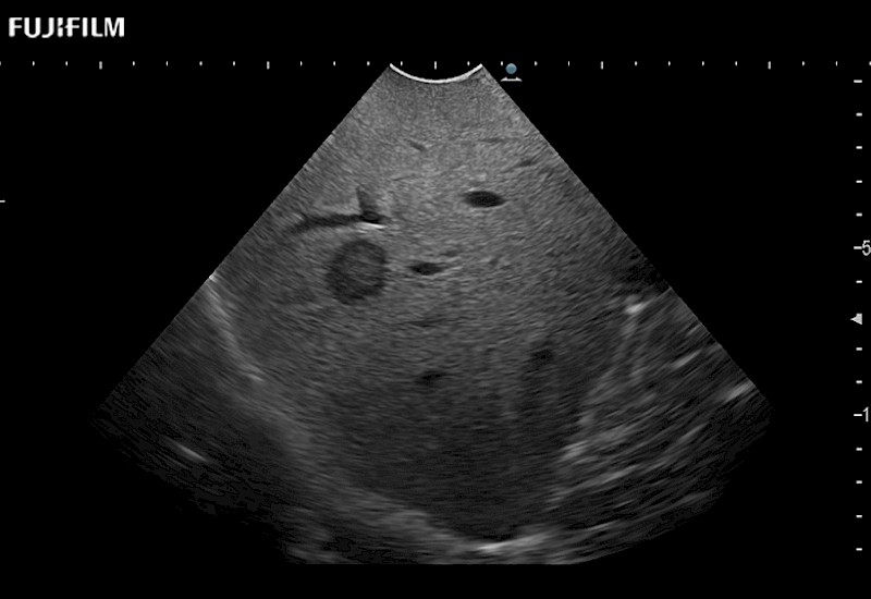
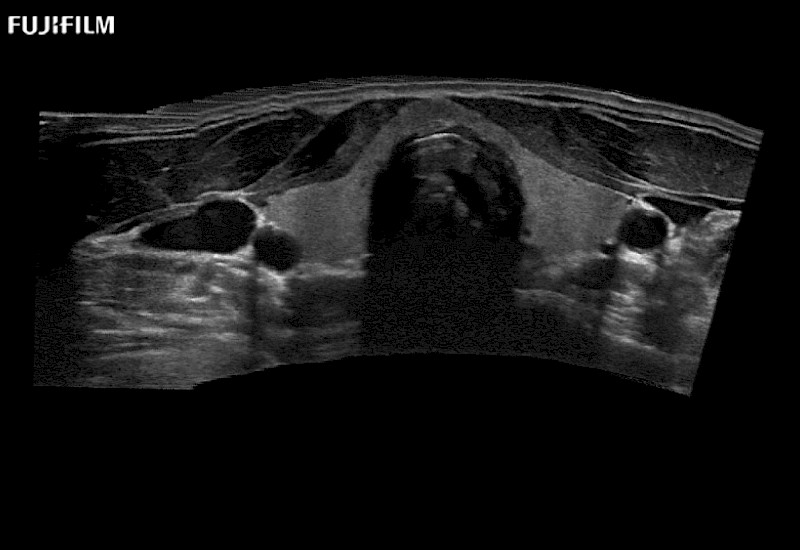
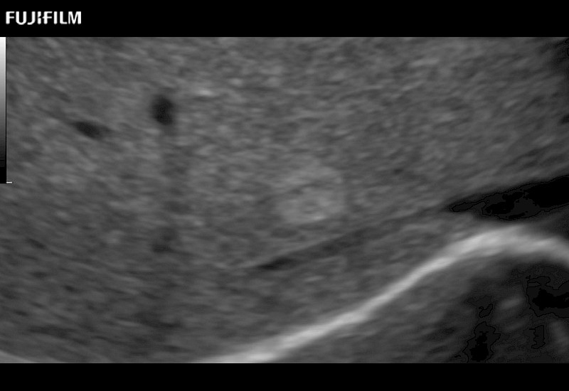
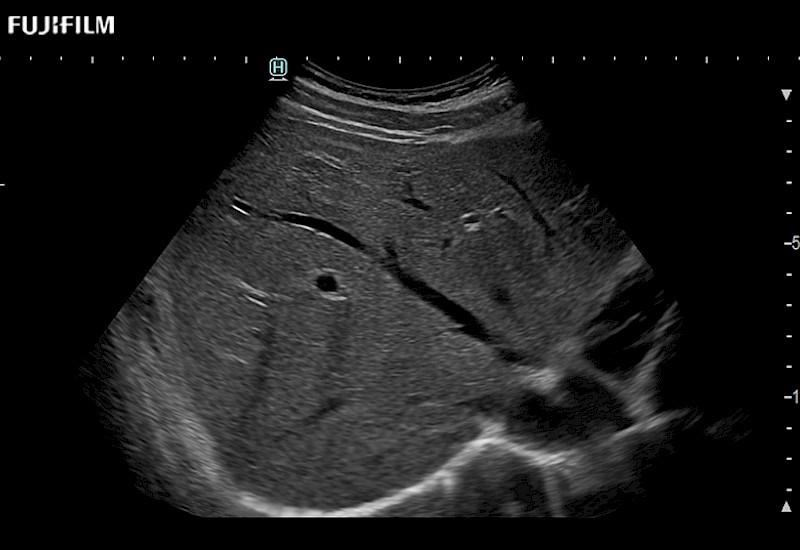
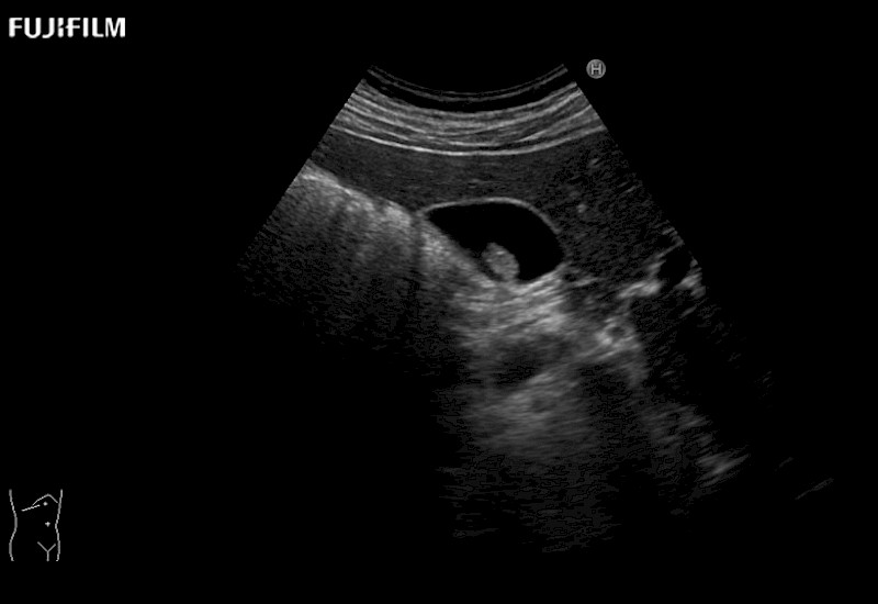
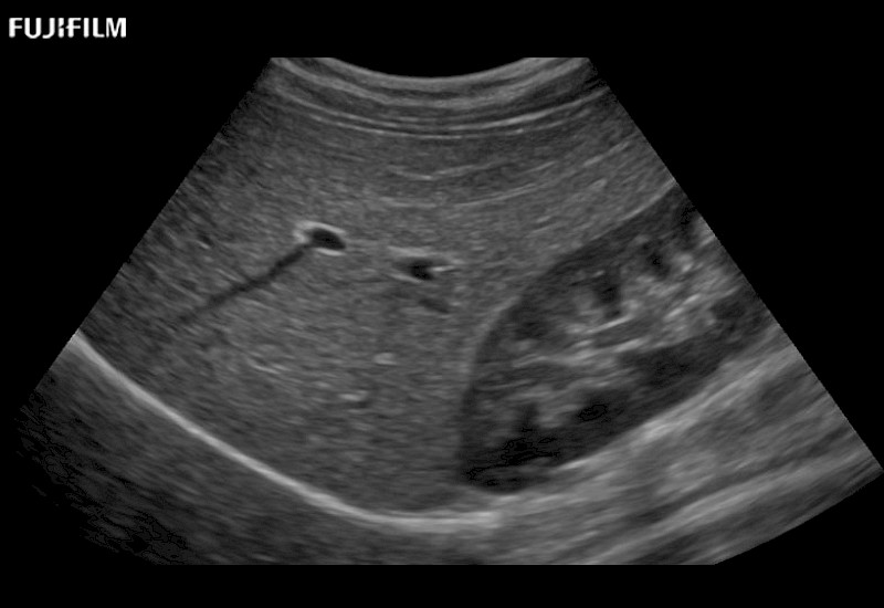
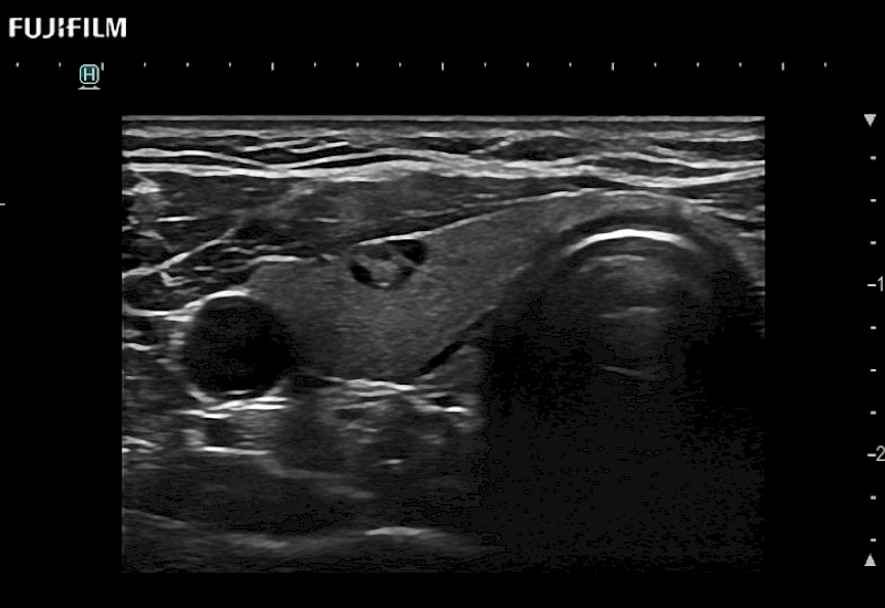
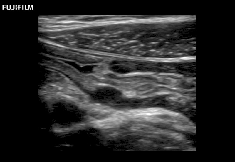
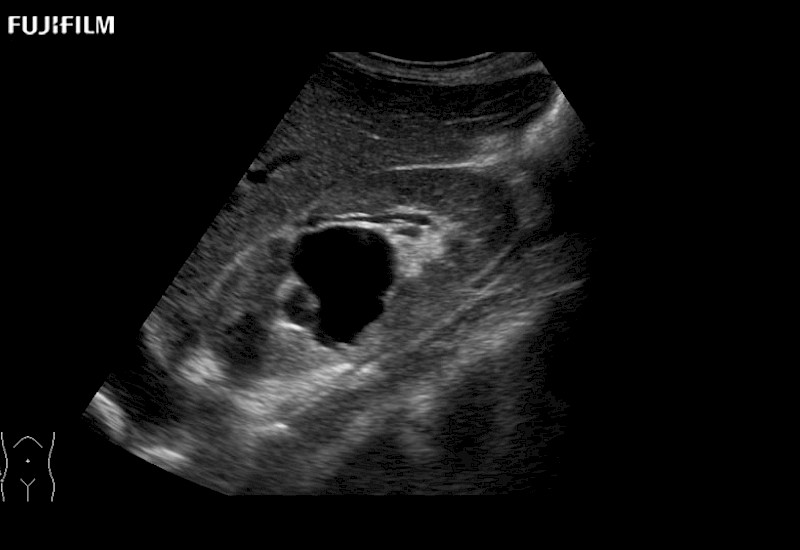
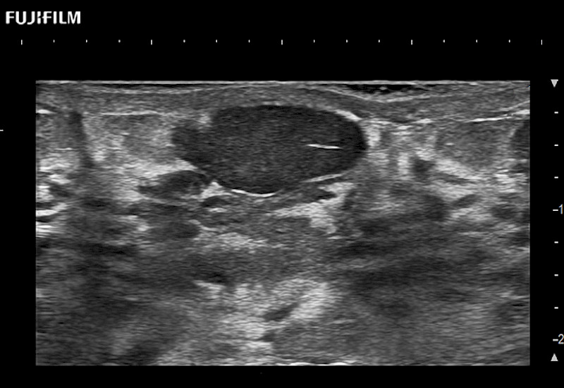
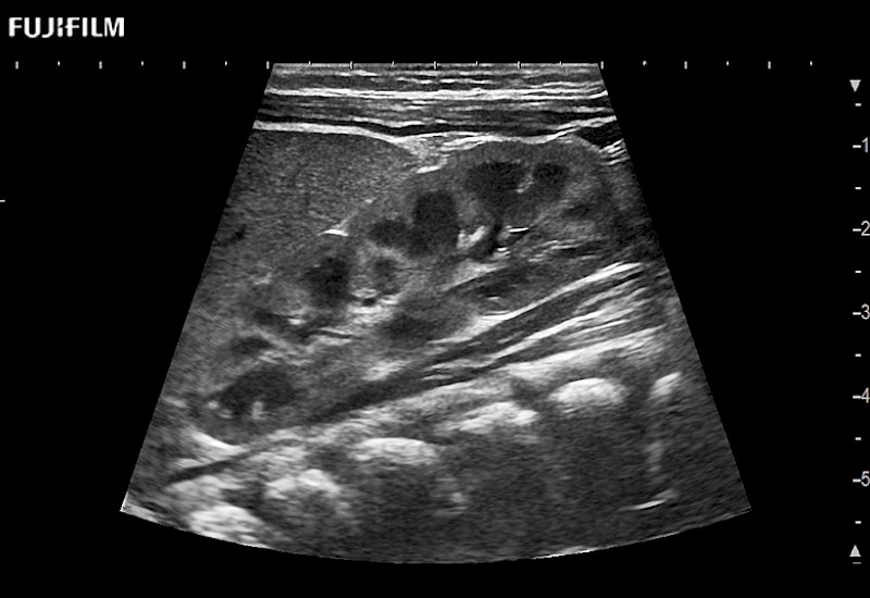
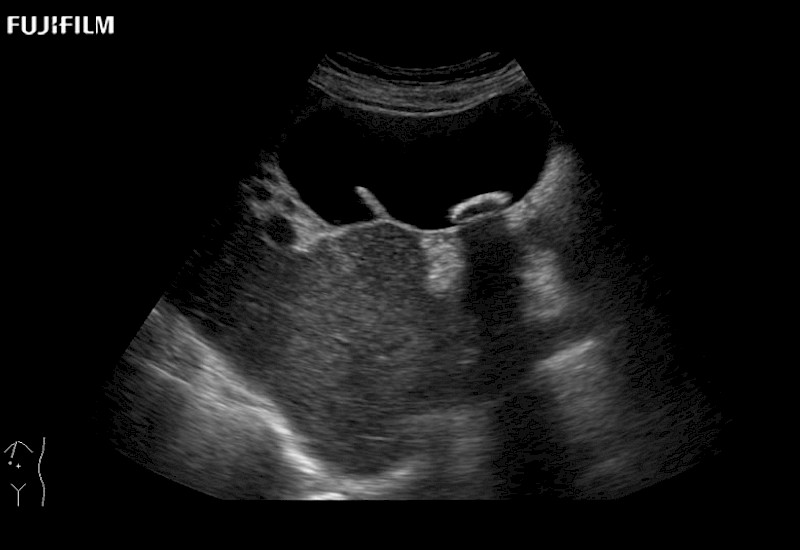
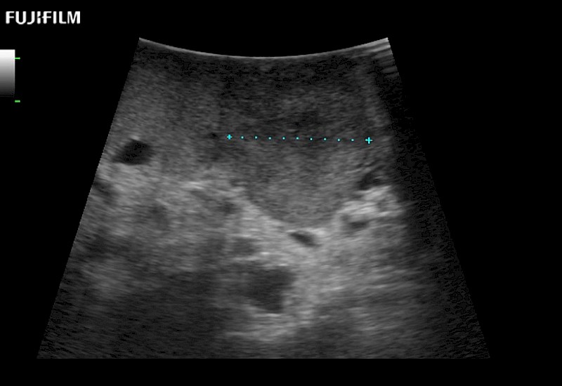
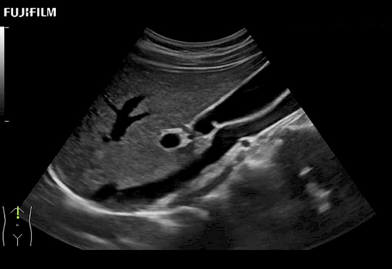
for use during open and laparoscopic procedures: Tumor localization & staging, Ablation, Resection, Biopsy, Transplant, Abdominal exploration, Robotic surgery
to meet specific needs
designed to work with your transducers
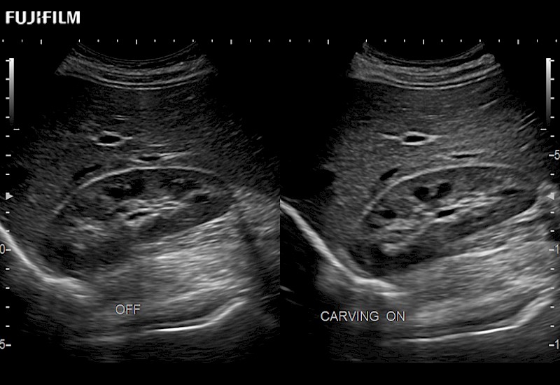
Our dedication to Surgical Oncology allows us to offer superior image quality, outstanding system reliability and intuitive use of cutting edge technology.
Curved array deep penetration “T” style finger-grip transducer for open surgical procedures.
Main Specifications:
Main Specifications:
Main Specifications:
Curved array 4-way laparoscopic transducer for better visualization of targeted lesions.
Main Specifications:
Exclusive linear array 4-way laparoscopic transducer for better visualization of targeted lesions.
Main Specifications:
Exclusive linear array rigid laparoscopic transducer for better visualization of targeted lesions.
Main Specifications:
Linear array side-fire “T” transducer for open surgical procedures.
Main Specifications:
Linear array side-fire “T” transducer for open surgical procedures.
Main Specifications:
Curved array “T” style finger-grip transducer for open surgical procedures.
Main Specifications:
Curved array deep penetration “I” style finger-grip transducer for open surgical procedures.
Main Specifications:
Exclusive linear array robotic surgery transducer.
Downloads:
Robot-Assisted Partial Nephrectomy Brochure (.pdf)
Features:
Main Specifications:
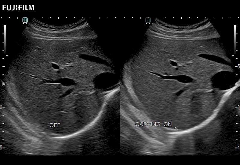
The ARIETTA 750 incorporates all of the proven technologies and functions that medical professionals have come to expect from Fujifilm Healthcare.
ARIETTA 750 is the definitive diagnostic ultrasound solution for any clinical setting - Private Office, Imaging Center, or Hospital. The ARIETTA platform provides the ultimate in clinical performance with its state-of-the-art features and large user-friendly display.
Learn more
The ARIETTA 650 DI combines trusted Fujifilm Healthcare technologies and features tailored for surgical oncology.
Designed to meet the demands of surgeons, the ARIETTA 650 DI offers precise guidance. Its advanced capabilities and large, intuitive display offer accurate and efficient care in operating rooms and specialized surgical settings.
Learn moreFujifilm Healthcare continues to listen to the experts, our neurosurgeons, by developing an ultrasound system specifically designed for the Operating Room.
Guidance is the fundamental purpose for all of our surgical ultrasound technology. Fujifilm Healthcare is committed to designing tools that help neurosurgeons navigate inside the human body and provide the necessary information to immediately make critical surgical decisions.
With the ARIETTA Precision the next level of surgical ultrasound is here.
Learn more
Request a demo or contact us and we can help.
This website uses cookies. By using this website you consent to our use of these cookies. For more information visit our Privacy Policy.
Got it