The ARIETTA 70 has many advanced and unique probes that fully cover the expanding range of procedures that benefit from ultrasound guidance.
See All Transducers
An innovative diagnostic tool that provides real-time color display of tissue elasticity.
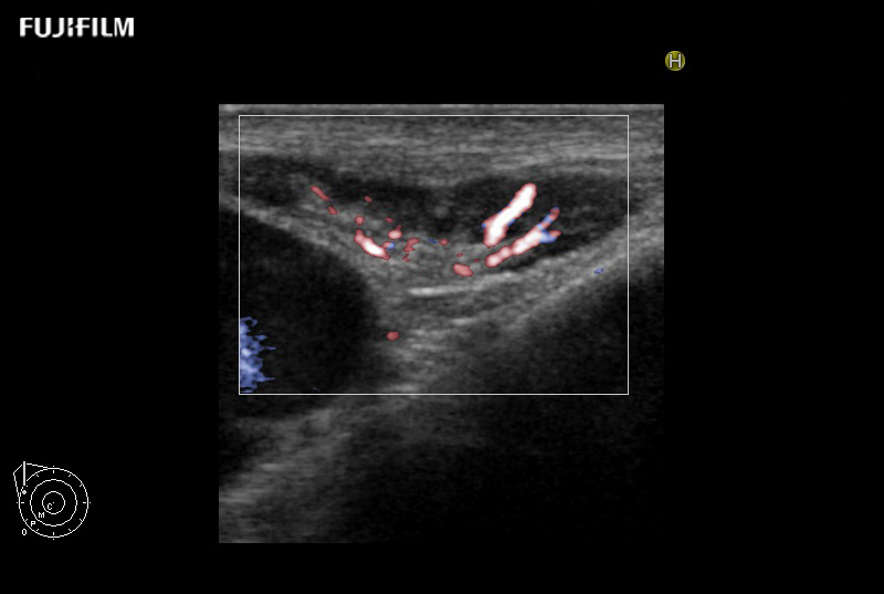
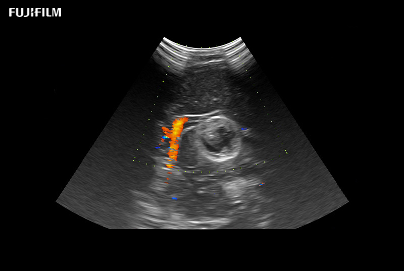
Displays blood flow with directional information at higher frame rates and spatial resolution compared to conventional methods. Detail and accuracy of blood flow information is greatly increased with reduced blooming of color.
Real-time side-by-side display of a B-mode image and Color Doppler image assisting in easy anatomical interpretation of blood flow.
Trapezoidal display on linear transducers provides a wider diagnostic field of view.
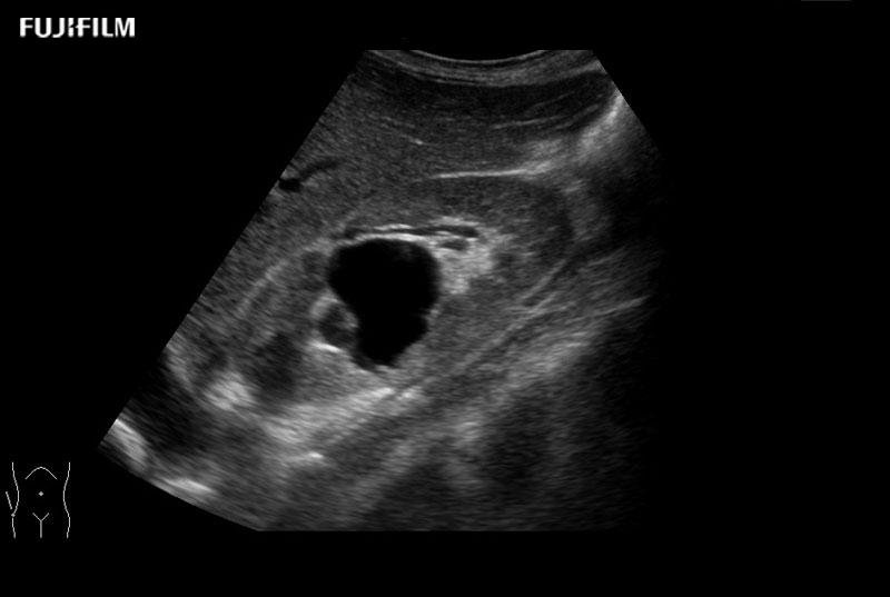
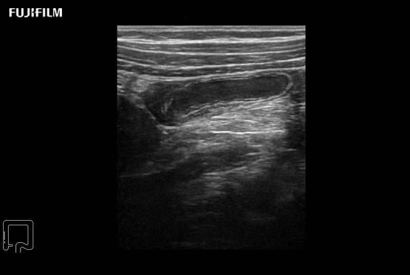
Provides an extended field-of-view image created from a series of real-time images. As the user moves the transducer across the area of interest a larger image is created that provides clearer spatial relationship information of anatomy and structures. This is especially helpful in assessing structures that are larger than the transducer field of view.
To improve understanding of blood flow information, Fujifilm Healthcare offers harmonics enhanced imaging specifically designed for use with contrast agents. The low MI contrast imaging obtained improves signal-to-noise ratio.
* In the USA, contrast-enhanced ultrasound has not been market cleared by the FDA for all imaging applications.
Designed to provide maximum simplicity, user efficiency, and portability. From its compact footprint to its intuitive, time-saving user interface, the ARIETTA 70 was engineered for the increasing workloads of today’s busy Surgical environments.
ARIETTA 70 Ergonomics
ARIETTA 70’s ergonomics address every point of interaction between the ultrasound system and surgeon. In addition to its moveable control panel, adjustable monitor, and portable frame, the ARIETTA supports a set of lightweight, ergonomically-contoured and specifically designed surgical probes.
45% Lighter
The ARIETTA 70 is 45% lighter than our previous premium class systems, making it easier to move from room to room or between floors.
User-friendly Operation Panel
Two-way multi-rotary encoders enable the adjustment of multiple functions using a single control, significantly reducing repetitive motions. The large palm rest at the center of the operating console is designed to give optimum wrist support.
Adjustable Panel Height
The panel height can be lowered to 70 cm, allowing the operator to perform lower extremity examinations with the control panel comfortably within reach.
IPS-Pro Display Monitor
Developed by Fujifilm Healthcare, In-Plane Switching (IPS) was the first LCD technology to improve viewing-angle. The ARIETTA 70’s IPS-Pro display doubles the half-contrast viewing angle of these displays while also improving contrast, black levels, and switching speed.
State-of-the-art digital architecture and advanced imaging features to redefine the capabilities of surgical ultrasound.
This website uses cookies. By using this website you consent to our use of these cookies. For more information visit our Privacy Policy.
Got it